BASIDIOMYCETES


Coprinus sp., corte transversal de las laminillas a menor aumento,
a mayor aumento se ven basidios con basidiosporas.


Puccinia graminis tritici sobre hoja de Berberis vulgaris.
Se observa la cara adaxial donde aparecen los picnios.


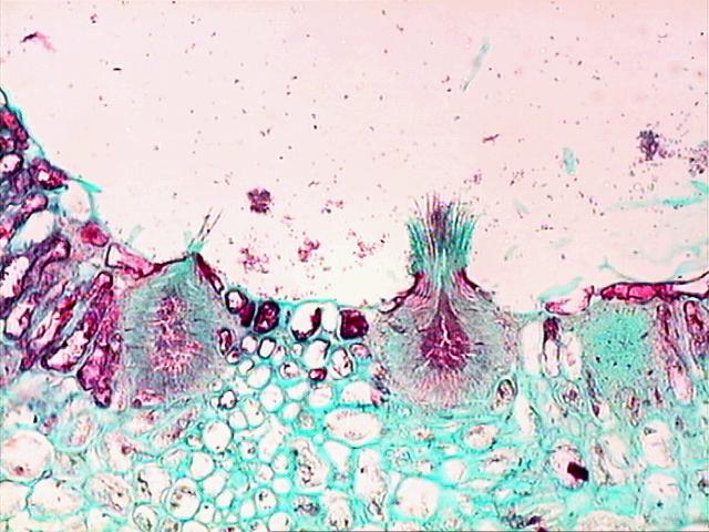
Puccinia graminis tritici sobre hoja de Berberis vulgaris.
Se observa la cara abaxial donde aparecen los ecidios.
 


Puccinia graminis tritici sobre Triticum aestivum.
 Se observan uredosoros con uredosporas.


Puccinia graminis tritici sobre Triticum aestivum.
Se observan teleutosoros con teleutosporas.
 


Basidiomycete. Micelio secundario con fíbulas.

Página siguiente

Volver al Índice.