BRIOFITAS


Corte de esporofito de Anthoceros sp.,
se observan tetrasporas, seudoelaterios y parte de la columela.


Corte de gametofito taloso de Marchantia sp. Observe la presencia
de rizoides y escamas en la cara ventral, epidermis superior.


Corte de gametofito de Marchantia sp., Observe la epidermis superior con
aberturas similares a estomas y tejido fotosintético por debajo.


Corte de gametangióforo de Marchantia sp. Se observa
un arquegonio rodeado por las hojas periquetales.


Corte de gametangióforo de Marchantia sp. con varios anteridios.


Corte de gametangióforo de Marchantia sp. en el cual ya se ha producido la
fecundación.  Se ve un esporofito joven, compuesto de cápsula seta y pié.


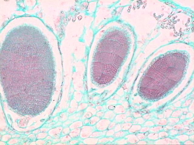
Esporofitos de Marchantia sp. más desarrollados rodeados
por una caliptra, en la cápsula se ve el tejido esporógeno.


Radula sp. es una hepática foliosa, observe distribución y
forma de las estructuras similares a hojas.


Corte transversal del gametofito de Riccia sp., donde se observan
esporofitos jóvenes, conteniendo esporocitos.


Corte transversal del gametofito de Riccia sp., donde se observan
esporofitos más desarrollados, conteniendo tetrasporas.


 Protonema de un musgo, se observan las paredes inclinadas típicas.
 
 
 

Página siguiente

Volver al Índice.