|
|
![]() |
| Fig. 7A.: Fractura abierta de fémur, que clínicamente presentaba ausencia de pulsos distales a la lesión |
![]() |
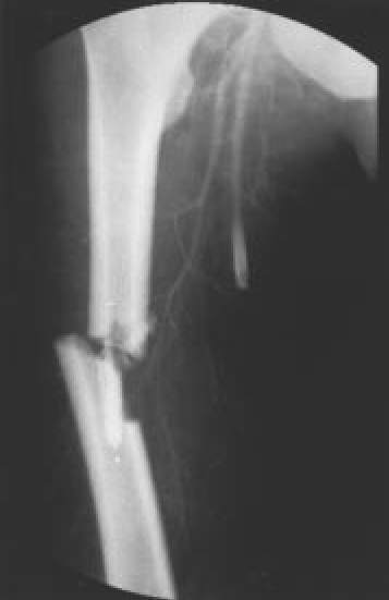
| Fig. 7B.: Imagen obtenida en arteriografía, mostrando "stop" a nivel de arteria femoral |
![]() |
| Fig. 7C.: Control de reducción postoperatoria, tras osteosíntesis con fijador externo AO y reparación vascular |
![]() |
| Fig. 7D.: Arteriografía de control tras la intervención, apreciándose el restablecimiento del flujo arterial |
|