11. 7. El enfermo polifracturado

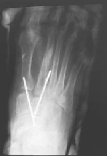
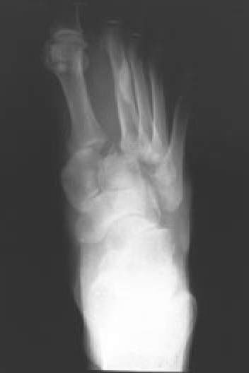
Fig. 5A.: Fractura-luxación de la articulación de Lisfranc
Fig. 5B.: Control postoperatorio tras reducción abierta y osteosíntesis con agujas de Kirschner
Fig. 5C.: Proyección lateral del mismo caso