11. 7. El enfermo polifracturado

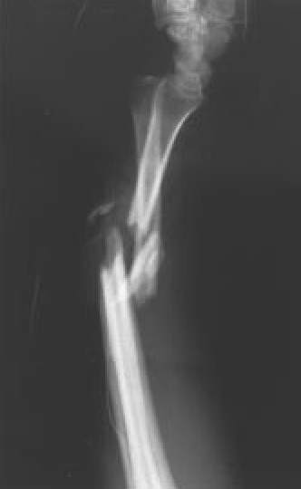
Fig. 4A.: Fractura diafisaria de cúbito y radio. Proyección anteroposterior
Fig. 4B.: Proyección lateral del mismo caso
Fig. 4C.: Control postoperatorio. Osteosíntesis con placas AO y agujas de Kirschner