11. 7. El enfermo polifracturado

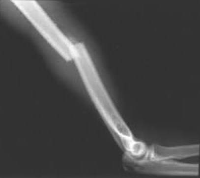
Fig. 3A.: Fractura transversa del tercio medio humeral
 Fig. 3B.: Control postoperatorio, tras osteosíntesis intramedular elástica