11. 5. Traumatismo pélvico, renal y genitourinario
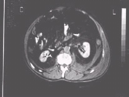
Figura 14.
—Hematoma en región perirrenal izquierda.