11. 5. Traumatismo pélvico, renal y genitourinario

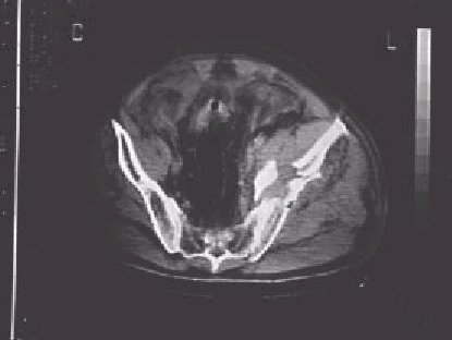
Figura 10.—Imágenes de tomografía computerizada en un paciente con hematoma retroperitoneal en relación con fragmentos óseos de una fractura de pelvis.