11. 5. Traumatismo pélvico, renal y genitourinario

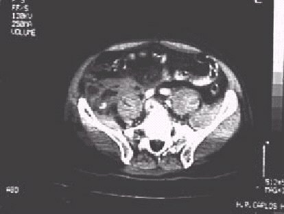
Figura 8.—El mismo caso de la figura anterior (Imagen.-6). Se aprecia próximo al músculo Ilíaco derecho, un punto de alta atenuación que corresponde a extravasación de contraste por el punto de sangrado pélvico.