4. 1. Infecciones agudas del sistema nervioso central
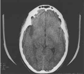
Figura 2.:
Area hipodensa temporal derecha secundaria a encefalitis herpética