1. 11. Taquicardia por reentrada intranodal

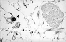
Figura 4: Confirmación de las fibras nerviosas (N), mediante la técnica inmunohistoquímica con anticuerpos contra la proteína S-100