1. 11. Taquicardia por reentrada intranodal

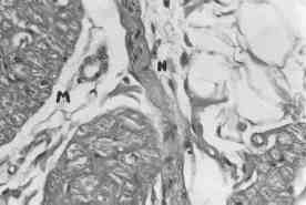
Figura 3: Características microscópicas del nodo AV. Haces pequeños y dispersos de fibras musculares nodales (M) en estrecha relación con una fibra nerviosa (N).