1. 11. Taquicardia por reentrada intranodal

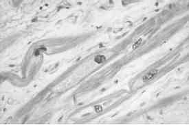
Figura 2: Corte longitudinal de las fibras musculares del nodo AV. El núcleo es grande y ovalado con un prominente halo perinuclear. Las miofibrillas son escasas y las estriaciones poco llamativas.