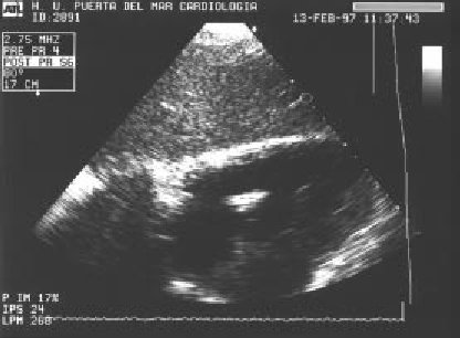
1. 7. Endocarditis infecciosa
Figura 5.
- ETT de paciente con endocarditis infecciosa de la válvula tricúspide.