![]() |
|
||
Anales de SAIPA - Sociedad Argentina para la Investigación de Productos Aromáticos
IX CONGRESO NACIONAL DE RECURSOS NATURALES AROMÁTICOS Y MEDICINALES
Volumen XVI - 2000 - pág 151 a 161.
RESUMEN
Muestras comerciales de "jengibre" fueron analizadas por examen microscópico y por T.L.C., detectándose muestras agotadas y/o adulteradas con diversas harinas y almidones, "jengibre japonés" y partes del fruto de Capsicum spp.
Comercial samples of "ginger" were analyzed by microscopic evaluation and T.L.C., we deetected exhausted and/or adulterated samples, with some flours and starches, "japanese ginger" and Capsicum spp fruit.
INTRODUCCIÓN
El rizoma de jengibre, Zingiber officinale Roscoe (Zingiberaceae), tiene una larga tradición referente a su empleo con fines bromatológicos y medicinales. Esta droga, ampliamente conocida en Asia, ha sido empleada como especia y actualmente en la elaboración de infusiones (té "en saquitos") y bebidas sin alcohol (ginger ale); con fines medicinales, suele emplearse por sus posibles propiedades antitumorales, antioxidantes, cardiotónicas, analgésicas, antipiréticas, antitusiva,etc. 1-6
Los cultivos de jengibre en Argentina se iniciaron hace relativamente poco tiempo y en un principio eran de pequeña extensión, limitados a los huertos familiares. Actualmente se han extendido y adquirido mayor importancia, sobre todo en las colectividades japonesa y coreana, con miras a su comercialización.
Se lo puede obtener en ferias naturistas, casas de repostería, productos dietéticos y de alimentos de origen oriental, ya sea como rizoma entero o pulverizado. La droga pulverizada, cuyo costo oscila entre dos y nueve dólares los 100 gramos, es la más suceptible de sufrir adulteraciones, falsificaciones y sustituciones.
El Capsicum spp. y la capsaicina, constituyen, junto con el "jengibre japonés" y diversas harinas y almidones (trigo, maiz), uno de los adulterantes del jengibre en polvo.1 citada en primer término, mediante análisis micrográfico y químico de muestras de jengibre pulverizado.
MATERIALES Y MÉTODOS
Se trabajó sobre ocho muestras de jengibre pulverizado, de diversos orígenes:
Las muestras fueron sometidas a una observación microscópica comparándolas con preparados de rizoma de Zingiber officinale Roscoe, de frutos de Capsicum spp. y de almidones de diversos orígenes.
Para el análisis por T.L.C. se trabajó con extractivos cloroformicos obtenidos por maceración de las ocho muestras de "jengibre" pulverizado, de una concentración equivalente a 20 g vegetal/ml extracivo y con extractivos clorofórmicos de rizoma de Zingiber officinale Roscoe, concentración equivalente a 3 g vegeta/ mi extractivo y de frutos de Capsicum spp..concentración equivalente a 6 g vegetal/mi extractivo.
La T.L.C. se efectuó en las siguientes condiciones:RESULTADOS Y DISCUSIÓN
a)Características macroscópicas de las muestras:
b) Análisis micrográfico:
* Elementos de diagnóstico en Capsicum spp.7-9Numerosos fragmentos amarillo pálido del epicarpio en vista superficial, compuesto por una capa simple de células poligonales o elongadas, algunas con cutícula fuertemente estriada.
Parénquima del mesocarpo conteniendo glóbulos de aceite fijo de color rojo o anaranjado. Células de paredes delgadas, con ocasionales microcristales esfenoidales de oxalato de calcio.
Esclereidas del endocarpo elongadas o poligonales, dispuestas en grupos, en una capa simple.
Fragmentos de la epidermis de la testa en vista superficial, constituidos por una gran capa de células lignificadas, onduladas, de paredes refractarias, color verde amarillento.
Fragmentos del endospermo compuestos por células parenquimatosas con paredes moderadamente gruesas, fuertemente adheridas al parénquima de la testa.
Fragmentos del cáliz en vista superficial: la epidermis interior compuesta por células elongadas de paredes finas, con numerosos tricomas glandulares (pie unicelular y cabeza ovoide multicelular). Células de la epidermis externa de paredes finas. Hay presentes numerosos estomas anisocíticos.
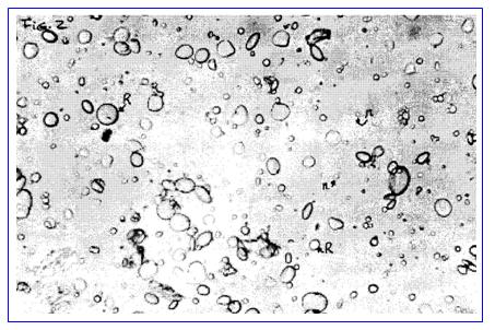
* Elementos de diagnostico en Zingiber officinale Roscoe (Zingiberaceae)9-12 (Fig. "Jengibre" 1)
Parénquima celulósico de células poligonales redondeadas, de paredes finas, que contienen granos de almidón aplanados, de forma oval-oblonga, con una protuberancia terminal en la que está situado el hilio: son de 12 a 50)0. de longitud y 20 a 30 \i de ancho; generalmente se presentan aislados, muy raras veces agrupados.
Células secretoras conteniendo oleorresina amarillenta.
Haces vasculares colaterales, asociados a fibras en forma de arco. Las fibras son de pared fina y no están lignificadas, tienen hasta 60 (i de ancho y 1 a 1,5 mm de longitud, con frecuentes septos pectósicos y delicados.
No presenta oxalato de calcio ni esclereidas.
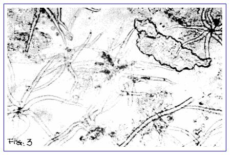
b1) Elementos hallados en preparados de Capsicum spp.:
Se realizaron preparados con frutos de Capsicum spp., observándose esclereidas del endocarpio en vista superficial (Figs. "Capsicum" 1 y 2), células del endocarpio con glóbulos de aceite fijo y pelos lectores estrellados (Figs. "Capsicum" 3-5)
b2) Elementos hallados en preparados de las muestras 1 a 8 (Figs. "Jengibre" 2-6)
c) Análisis químico por T.L.C.7-13-14
La capsaicina reacciona con el reactivo de Gibbs dando compuestos de color azul, que en las condiciones de operación no se obsevan en los demás cromatogramas.
Los cromatogramas correspondientes a jengibre rizoma (extractivo J) y jengibre pulverizado (extractivos 1 a 8), se observan idénticos y de similar intensidad, aunque hay que tener en cuenta que la concentración de los extractivos 1 a 8 es casi siete veces superior al extractivo J, por lo que en las muestras pulverizadas disminuye proporcionalmente.
CONCLUSIONES
Las características macroscópicas de las muestras, conjuntamente con el análisis microscópico y por T.L.C., permiten suponer que el jengibre pulverizado puede hallarse:
1) Agotado (Muestra 6)
2) Adulterado con harinas y almidones (Muestra 3 y 7 trigo; Muestra 6 maiz)
3) Adulterado conpartes del fruto de Capsicum spp. (Muestras 1,2,3,4,5,8)
4) Adulterado con el denominado "jengibre japonés" (Muestra 1)










|
|
|