ESTRUCTURAS SECRETORAS Y DE PROTECCIÓN


Epidermis de dicotiledónea, corte transversal, con gruesa cutícula.
Phytolacca dioica, Ombú, pecíolo, nº51.


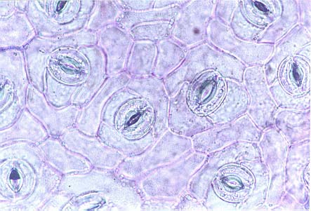
Levantado de epidermis de dicotiledónea, con estomas y células acompañanates.
Myoporum laetum, Transparente.


Epidermis de gimnosperma adaptada al xerofitismo, se observa
el engrosamiento de las células epidérmicas y los estomas invaginados.
Acícula de Pinus, nº118.


Pelo epidérmico cargado de sílice, en Malvón, nº150.


Pelo epidérmico secretor, en Malvón, nº150


Epidermis de monocotiledónea, gramínea, se obrservan
células silicosas, Bromus, nº138.


Epidermis de monocotiledónea, gramínea, se observan pelos
con sílice y estomas, Paspalum, nº138


 Canal secretor esquizógeno. Acícula de Pinus, nº118.


 Bolsas secretoras lisígenas. Tallo de Eucalyptus, nº65.
 


Drusas en Malvón, nº150.

Página siguiente

Volver al Índice.