Felipe García-Rodríguez y Ditmar Metzeltin
Las Diatomeas o Bacillariophyceae son organismos microscópicos unicelulares acuáticos de color marrón que posen un esqueleto de sílice llamado frústulo. Aparecieron en el Jurásico (200 millones a AP) y se conocen aproximadamente 11.000 especies.
De acuerdo a su simetría se clasifican en céntricas (simetría radial, forma redondeada y cilíndrica), y pennadas (simetría bilateral). De acuerdo a la presencia/ausencia del rafe se clasifican en rafídeas (Achnanthes inflata) y arafídeas (Terpsinoë americana). A pesar de ser unicelulares, pueden formar colonias tipo cadenas (Aulacoseira spp.), bandas (Staurosira spp.) y en forma de estrella (Asterionella spp.).
Su baja necesidad de luz y humedad para desarrollarse, hace posible encontrarlas en variados ambientes (aerosoles, suelos húmedos, paredes de grutas y cavernas). Son de gran importancia en sistemas acuáticos (lagos, ríos, océano) puesto que a comúnmente constituyen gran parte de la productividad primaria (i.e. tasa de fotosíntesis). En los sistemas acuáticos pueden encontrarse en el dominio planctónico (en la columna de agua) o asociadas al sedimento, rocas y paredes de algas (dominio bentónico).
Como el agua será uno de los recursos más importantes de la humanidad en las próximas décadas, el conocimiento sobre la riqueza específica de la microflora de diatomeas es importante para determinar biodiversidad y calidad de agua, puesto que son indicadores de contaminación pH, salinidad, silicatos, materia orgánica, nitrógeno, fósforo, etc. Por ello en Francia y Alemania existen mapas de calidad de agua en base a diatomeas. Existen especies tóxicas que causan mortalidad de peces y otros organismos. Como necesitan bajas intensidades de luz para desarrollarse, habitan en variados ambientes acuáticos (ríos, lagos, humedales, manantiales, grutas, suelos de bosques con alta humedad). Son asimismo de gran importancia paleoecológica porque se conservan como fósiles especialmente en sedimentos de sistemas lacustres donde existe un buen enfocamiento de la sedimentación.
Son también de importancia económica para elaboración de pasta de dientes, fertilizantes (aumenta la dispersión), de filtros de decantación (por ej. para el vino), aislamiento para paneles antifuego, y en medicina legal y forense (para determinar si una persona murió ahogada).
En Uruguay se están llevando a cabo investigaciones sobre la flora actual de sistemas marinos costeros y dulceacuícolas con el fin de determinar especies indicadoras de diferentes condiciones ambientales, que permitan hacer sets de calibración. Asimismo, se están estudiando las diatomeas fósiles del Holoceno de las lagunas costeras del sudeste del país. El estudio combinado de la microflora actual y fósil permitirá utilizar ecuaciones de transferencia para hacer reconstrucciones paleoambientales en forma cuantitativa.

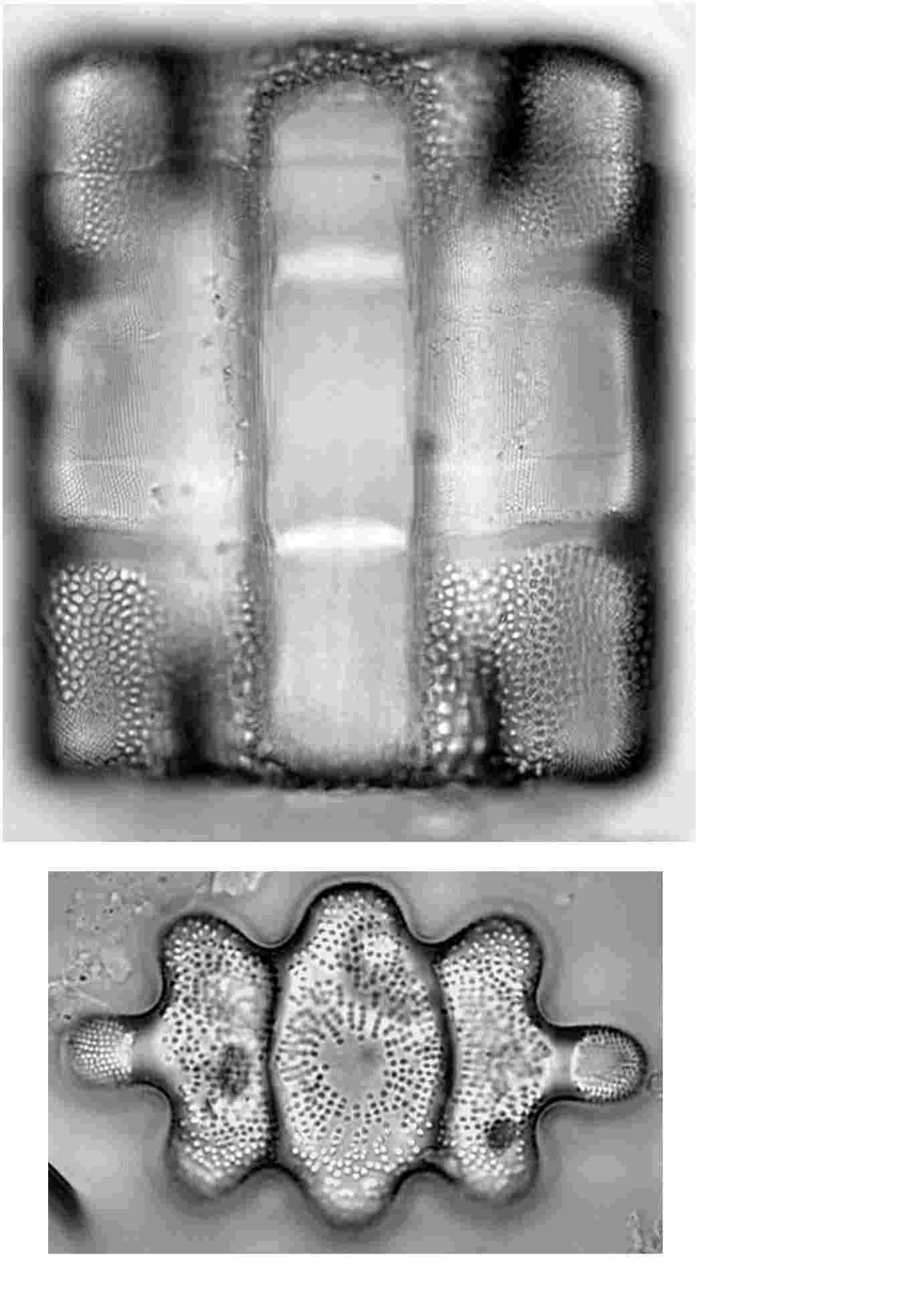
Terpsinoë americana. Especie colectada en el Río
de la Plata. Típica de ambientes salobres con alto contenido iónico.
En el Uruguay se le conoce también como fósil (Laguna de
Rocha y Laguna Blanca).

Achnanthes inflata. Especie que habita aguas marino/salobres. En Uruguay fue hallada en La Pedrera y también en el registro fósil de Laguna Castillos.
Staurosira fernandae (García-Rodríguez, Lange-Bertalot & Metzeltin) sp. nov. Especie hallada en el registro fósil de Laguna Blanca, Maldonado, sudeste del Uruguay.